+38(097)411-50-08
+38(099)726-15-75

RU

Об'єм: A4

Вартість: 400 ₴

Результат: на диску, на  E-mail, на фотопапері

Записатися

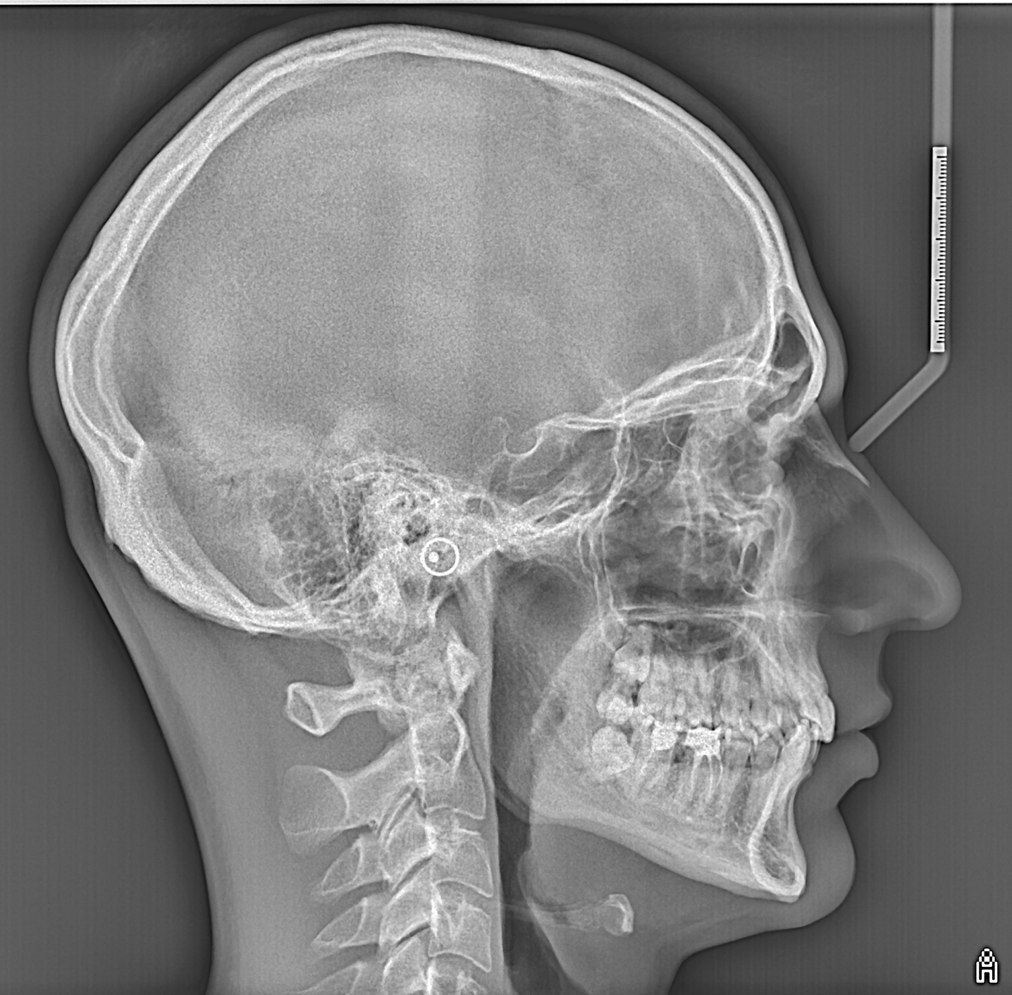
ТРГ бічної проекції

Телерентгенографія - це плоске двовимірне обстеження черепа в різних проекціях:
- Прямій
- Бічній

ТРГ є одним із найпопулярніших методів діагностики в ортодонтичній практиці, оскільки дозволяє оцінити скелетні співвідношення і провести необхідні вимірювання для корекції основних відхилень у структурі зубої̈щелепної системи: наприклад, розміру і положення щелеп, форми зубних дуг, розміру та прорізування зубів. Для більш точного аналізу в різних проекціях та виключення накладення тіней необхідна об'ємна комп'ютерна томографія, яка має максимальну інформативність.

 Всі послуги

Залишити заявку